Радиология и радиохирургия // ПЭТ-КТ с контрастом
ПЭТ-КТ С КОНТРАСТОМ
Проведение ПЭТ-КТ с контрастом
Позитронно-эмиссионную томографию с введением контраста применяют для получения более точного изображения. Контрастное вещество попадает в организм путем внутривенной инъекции и под контролем инжекторной системы. При этом контроль введения осуществляется посекундно и позволяет проводить исследования любой сложности. Применение контраста улучшает визуализацию тканей, имеющих схожую структуру. Введение контрастного вещества меняет плотность исследуемых тканей. Это дает возможность точно выделить очаги, пораженные онкологическими новообразованиями и рассмотреть их структуру. При проведении прицельной биопсии использование ПЭТ/КТ с контрастом становится необходимым, т. к. исследование очень маленьких опухолей может дать ложноотрицательный анализ на присутствие злокачественных клеток. Обнаруженная современной техникой опухоль дает очень четкие очертания на сканере и позволяет получить материал для биопсии непосредственно из очага заболевания.

Преимущества проведения ПЭТ-КТ с контрастом
Позитронно-эмиссионная томография может оказать помощь врачу-радиологу там, где рентген-исследование или МТР остаются бессильны.
Определить злокачественную природу некоторых опухолей возможно только во время операции, либо, использовав ПЭТ/КТ технологию. Второй метод является преимущественным, как безболезненный и эффективный. Достоверность информации, получаемой при ПЭТ диагностике, стремится к 90 процентам, в то время как МРТ дает только 50-70 процентов точности.
Показания к проведению ПЭТ-КТ с контрастом
ПЭТ/КТ с введением контраста применяют при таких исследованиях, как:
- КТ головного мозга.
- КТ грудной клетки.
- КТ органов брюшной полости.
- КТ позвоночника и суставов.
- КТ при раке кожи и для изучения состояния лимфатических узлов.
- КТ для выявления метастазов.
Наиболее продуктивной является ПЭТ/КТ диагностика в случаях, когда необходимо обследовать труднодоступные участки тела: брюшную полость или головной мозг. Как пример можно назвать исследование мочеполовой системы, когда объективные симптомы указывают на сдавление мочеточников. Причиной при этом могут быть распространившиеся на них опухоли женской половой сферы или лимфатических узлов. Диагностика с применением контрастного вещества в этом случае помогает быстро обнаружить патологию и установить ее причину.
При исследовании органов пищеварения и печени применение контраста помогает обнаружить распространившийся злокачественный процесс и выявить его источник. Важность этого исследования невозможно переоценить. В случае, когда, например, рак желудка дает метастазы в поджелудочную железу или печень, новые очаги должны лечиться, как рак желудка. Это связано с тем, что новые раковые клетки имеют то же строение и свойства, что и первичная опухоль.
Очевидным преимуществом применения контраста в ПЭТ/КТ исследованиях является обнаружение метастазов. В некоторых случаях врач онколог предполагает их наличие, но не может определить точное месторасположение. Йодсодержащие препараты окрашивают злокачественные новообразования и делают отчетливо видимыми.
Для проведения биопсии очень небольших опухолей и метастазов используется позитронно-эмиссионная томография с введением контраста. После обезболивания участка кожи врач-радиолог вводит иглу под наблюдением аппаратуры, внимательно следя за тем, чтобы она попала именно в опухоль. При этом возможно проведение тонкоигольной биопсии, которая берет очень маленьких образец тканей или толстоигольной, когда материал имеет размеры 3,0 на 1-1,5 см. образцы исследуются в лаборатории, вследствие чего возможно дать заключение об их злокачественной или доброкачественной природе.
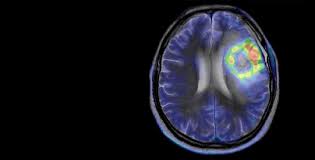
Часто контраст применяется при ПЭТ/КТ исследовании головного мозга. Изображения, получаемые при помощи позиционно-эмиссионного томографа под разными углами, регистрируют наличие опухоли. Сделать диагностику более точной в этом случае помогает внутривенное введение препаратов йода. Такое исследование поможет отличить рецидив заболевания от послеоперационных осложнений, возникающих при удалении опухоли. ПЭТ/КТ, дополненная введением контрастного вещества, отображает процессы, протекающие в головном мозге, метаболизм глюкозы и кислорода, кровообращение и работу специфических рецепторов.

Противопоказания для проведения ПЭТ-КТ с контрастом
К противопоказаниям проведения ПЭТ-КТ с контрастом можно отнести:
- Общее тяжелой состояние больного, беременность и кормление грудью.
- Аллергия на йод.
- Наличие тяжелых воспалительных процессов и инфекций у больного. При абсцессах, саркидозе и т. д. известны случаи неверных ложноположительных результатов КТ.
- Состояния после проведения лапароскопических операций или открытой биопсии. В этом случае возможно повреждение тканей в месте оперативного вмешательства и захват ими изотопов радиоактивного вещества. В такой ситуации следует выдержать промежуток не менее 4 недель после операции.
- Проводимая в период исследования больного химиотерапия. Совмещение радионуклидной диагностики с таким лечением может иметь побочный эффект в виде изменений в костном мозге. В связи с этим ПЭТ/КТ проводится через 3-4 недели по окончании химиотерапии.
- Применение у больного лучевой терапии. Использование радиофармпрепаратов одновременно с лучевой терапией увеличивает постлучевые осложнения. Необходимо выдержать трехмесячную паузу.
Метод проведения ПЭТ-КТ с контрастом
ПЭТ/КТ - это использование сразу двух сложнейших аппаратов. При этом не только фиксируются анатомические изменения в органах, но оценивается кровоток, метаболизм в клетках, насыщение их кислородом. Раковые опухоли проявляют большую по сравнению со здоровыми тканями активность. Они теряют контроль над собственным делением и становятся агрессивными, ярко выраженными на снимках и изображениях получаемых при диагностике.
Часто исследование злокачественных новообразований проводится в два этапа: без введения контраста и с последующим введением. Это уточняет диагноз особенно при оценке состояния лимфатических узлов и отдаленных небольших метастазов.
Контрастные вещества, используемые при ПЭТ/КТ диагностике
В качестве контрастного вещества чаще всего используют йодсодержащие препараты:
- Жирорастворимые (медленно всасываются тканями и органами).
- Водорастворимые (применяются наряду с сульфатом бария при исследовании органов брюшной полости).
Каждый из контрастов делится на:
- Ионные препараты. Способны вызывать аллергическую реакцию у некоторых из пациентов. В связи с этим они применяются с большой осторожностью.
- Неионные препараты. Имеют большую стоимость, но при этом более безопасны.
Все препараты имеют некоторую нефротоксичность, что необходимо учитывать при заболеваниях почек. В этом случае необходимо контролировать уровень мочевины и креатинина у больных с почечной недостаточностью.
Использование рентгеноконтрастных веществ, при их внутривенном введении, существенно улучшает изображение сосудов, лимфатических узлов и злокачественных опухолей.
Для исследования желудочно-кишечного тракта и органов брюшной полости применяют йодсодержащие препараты, употребляемые перорально. При диагностике субарахноидального пространства, трахеи и бронхов, свищей, мочевого пузыря используют соответствующие полости для непосредственного введения в них контраста.

Побочные эффекты введения контрастных препаратов
У некоторых больных при введении препарата ощущается кратковременное чувство жара (приливы), нередко бывает покраснение кожных покровов. Данные состояния не требуют лечения и отмены контраста. В тяжелых случаях возможен побочный эффект в форме затрудненного дыхания и понижения кровяного давления, что устраняется медикаментозными средствами. В связи с этим перед использованием диагностики врач-радиолог обязан задать пациенту несколько вопросов об общем состоянии здоровья и наличии аллергических проявлений в прошлом.
При диагностике пользуются четырехуровневой шкалой, отображающей накопление радиофармпрепаратов в тканях:
- Мягкие ткани и неработающие мышцы.
- Печень и близлежащие к ней органы, (чуть вышерасположенные).
- Участки выше уровня печени.
- Головной мозг.
Если накопление радиофармпрепаратов фиксируется на 1 и 2 уровне, возможно наличие воспалительного заболевания. Уровень 3 указывает на первичную опухоль. 4 – метастазы или первичное злокачественное образование.
(495) 545-17-44 - клиники в Москве и за рубежом
ОФОРМИТЬ ЗАЯВКУ на ЛЕЧЕНИЕ


.jpg)